Nos services
Prothèses dentaires précises et sur mesure pour chaque besoin
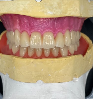
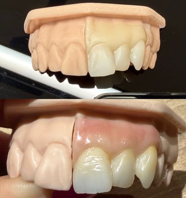
Nos Prothèse fixe
Fabrication artisanale et numérique pour des couronnes et bridges durables.
Prothèse amovible et Réparation
Conception personnalisée pour un confort optimal et une esthétique naturelle.
Nos Gouttières
Gouttières de surélévation pour un positionnement dentaire précis.
Gouttières de blanchiment efficaces, sur mesure.
Réparations rapides, adjonctions sur mesure. Fiabilité, durabilité et adaptation.
Orthodontie
Gouttières de surélévation pour un positionnement dentaire précis.
Gouttières de blanchiment efficaces, sur mesure.
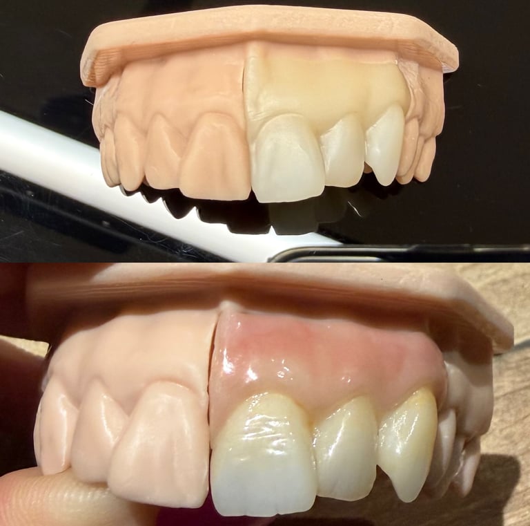
Impression et Modèle 3D
Modèles dentaires 3D d'une précision élevée. Technologie de pointe, reproduction précise, planification idéale.
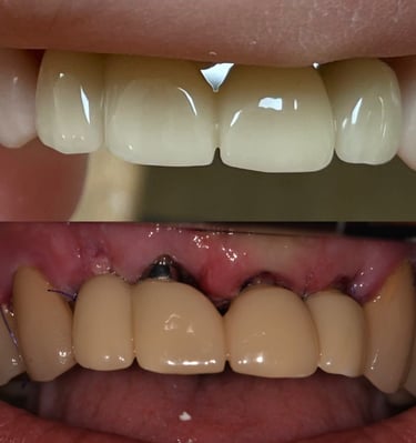
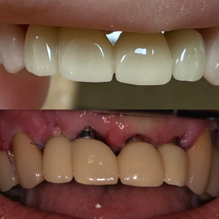
Les implants dentaires : un soutien stable et sûr, avec une intégration parfaite et une esthétique naturelle.
Implantologie
Galerie
Nos prothèses à travers le regard de nos clients satisfaits






5000+
Prothèses réalisées
15+
d'expérience
Satisfaction client
Notre Priorité
Notre Compétence au Service de Votre Besoin
Une équipe à votre écoute pour vos projets dentaires.


Avec plus de 15 ans d'expertise en prothèse dentaire, notre laboratoire s'est développer sur tout type de prothèse et le Numérique afin de proposer des solutions hautement qualitatives.
Matériaux de qualité premium
Délais de livraison respectés
Réactif et disponibilité
Suivi personnalisé de chaque cas
Formation continue de notre équipe
Proximité